A crown, (sometimes known as a ‘cap’) is an artificial restoration that fits over the remaining part of a prepared tooth, making it strong and improving its appearance by giving it the shape and size of a natural tooth.
A crown may be required for a number of reasons:
- Strengthen teeth that have been broken or have been weakened by decay or a very large filling
- Teeth that have had a root filling may need a crown to protect it
- Improve the appearance of poorly shaped teeth discoloured teeth or teeth that have large discoloured fillings
- To support a bridge or even a denture
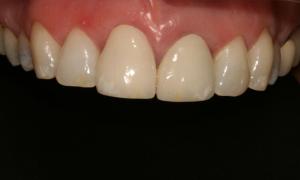
Discoloured tooth
|
Discoloured Tooth After Crowning
|
Before
|
After
|
Crowns - Commonly Asked Questions
How is a crown placed?
To prepare the tooth for a crown, it is reduced so the crown can fit over it. An impression of teeth and gums is made and sent to the laboratory for the crown fabrication. A temporary crown is fitted over the tooth until the permanent crown is made. On the next visit, the dentist removes the temporary crown and cements the permanent crown onto the tooth.
Will it look natural?
Yes. The dentist's main goal is to create crowns that look like natural teeth. To achieve a certain look, a number of factors are considered, such as the colour, bite, shape, and length of your natural teeth.
With older methods, crowns always needed to be made with a metal foundation. This has left many people with dark lines around their crowns. Today we can make them out of pure porcelain, ceramic or aesthetic reinforced resins that blend beautifully with the existing tooth and surrounding gum.
There are still occasions, usually in relation to back teeth when the durability of a metal reinforced crown or even a gold crown makes it the restoration of choice. But for crowns that show, wouldn’t you rather have one that looks as natural as possible?
Will the crown feel different?
Because the shape of the crown will be slightly different from the shape of your tooth before it was crowned, you may be aware of it to begin with. Within a few days it should feel fine, and you will not notice it.
How should I take care of my crowns?
How long your crown lasts depends on how well you look after it. The crown itself cannot decay, but decay can start where the edge of the crown joins the tooth. Besides visiting your dentist and brushing twice a day, flossing and using interdental cleaners (specially shaped brushes and sticks) around crowns is vital to remove plaque from around the crown area. Plaque left in the area where the crown meets the gum can cause dental decay and gum disease.




