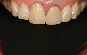
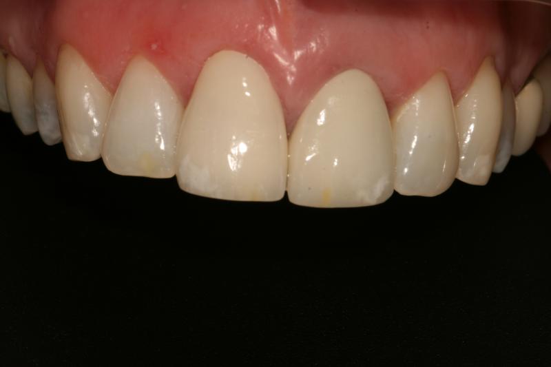
CROWNS |
|
Before
|
After
|
|
|
|
|
|
|
BRIDGES |
|
Before
|
After
|
|
|
|
VENEERS |
|
Before
|
After
|
SHORT TERM ORTHODONTICS |
|
Before
|
After
|
|
|
|
|
|
|
|
|
|
|
|
|
|
|
|
|
|
|
|
|
|
|
|
|
IMPLANTS |
|
Before
|
After
|





























f

