Implants offer the best way for replacing teeth, whether you have lost one, several, or all of your teeth. The result looks and feels just like natural teeth without involving any other teeth and allows you to live, laugh and enjoy life with full confidence.
Dental implants have many advantages compared to traditional dental restorations;
- Dental implants look, feel and function like natural teeth
- Are a stable foundation for crowns, bridges and dentures
- Healthy teeth do not need to be cut down
- Dental implants can help prevent bone loss, maintaining facial features
- Implant dentures unlike traditional dentures have no palate, having a positive effect on speech and taste
- Dental implants are a permanent tooth replacement.
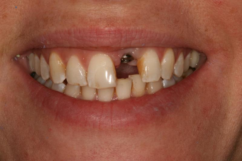
Implant before crown placed
|
Implant restored crown
|
Please click the folliowing links for further information:
Commonly Asked Questions
Does it hurt?
Placing the implants requires a small operation. This can be carried out under local anaesthetic. You will not feel any pain at the time, but you may feel some discomfort during the week following the surgery. This is usually due to having stitches in place, and the normal healing process.
How long does the process take?
Treatment times can vary on an individual basis. In most patients it will take between 6-8 weeks from implant placement to the final restoration. If bone quantity and quality is not favourable then the final result will take longer to achieve.
Will I have to take time off work?
Generally, we recommend the day of and the following day after surgery, that no strenuous exercise be done. You can expect to be slightly swollen. The amount of time off required is an individual decision.
How long do they last?
Implants are a well-established, tried-and-tested treatment. 90 per cent of modern implants last for at least 15 years. This is depending on how well you look after them. Like any other restoration, your implant-supported teeth can still be damaged by trauma and affected by gum disease and poor oral hygiene.
Am I suitable?
Dental implants can be placed in patients of any age (with fully developed jawbones), provided that they have a sufficient quantity and quality of bone tissue available. Most healthy individuals that maintain a good oral hygiene program are suitable candidates for dental implants. Circumstances where implants may not be suitable, or situations that have an increased risk of implant failure, include heavy smoking, excessive alcohol intake, periodontal gum disease, immune-compromised individuals, and teeth grinders.


